デイリータダラフィルはオンライン診療をご利用ください

神経因性膀胱

神経因性膀胱

尿が出ない・残尿感・頻尿でお困りの方へ

「トイレに行っても尿が出にくい」「残尿感がいつもある」「急に尿がもれてしまう」――このような症状に悩んでいませんか?
その原因の一つとして【神経因性膀胱(しんけいいんせいぼうこう)】があります。
神経因性膀胱は、脳や脊髄、末梢神経の障害により、膀胱の働きをうまくコントロールできなくなる病気です。進行すると腎機能の低下にもつながるため、早めの受診が大切です。

 神経因性膀胱のタイプ

神経因性膀胱は、大きく2つのタイプに分けられます。

弛緩性タイプ(膀胱の収縮力が低下するタイプ)

尿を押し出す力が弱くなるため、尿が出にくい、残尿感がある、尿閉になるといった症状が出やすい。

 痙性タイプ(不随意な膀胱収縮が発生するタイプ)

尿がたまる前に勝手に膀胱が収縮してしまい、頻尿や尿意切迫感、尿失禁が起こる。
同じ「神経因性膀胱」でも、タイプによって症状も治療法も異なるのが特徴です。

 主な原因

神経因性膀胱は、以下の病気や障害が背景にあることが多くあります。

  • 脳梗塞・脳出血
  • 脊髄損傷や椎間板ヘルニア
  • 多発性硬化症やパーキンソン病などの神経疾患
  • 糖尿病による神経障害

※特に糖尿病は患者数が多いため、注意が必要です。

 よく見られる症状

  • 尿が出にくい、出るまでに時間がかかる
  • 残尿感が続く
  • 頻尿・夜間頻尿
  • 尿もれ(尿失禁)
  • まったく尿が出ない(尿閉)

「年齢のせい」と思い込み放置してしまうと、腎臓に悪影響を及ぼすこともあります。

 放置によるリスク

排尿障害を放置すると以下の合併症が起こることがあります。

  • 膀胱炎や腎盂腎炎などの尿路感染症
  • 尿が腎臓に逆流する水腎症
  • 腎不全(透析が必要になることもある)

排尿のトラブルは生活の不便さだけでなく、命に関わる病気につながることもあります。

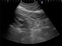
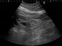
神経因性膀胱の症例写真

右腎エコー
右腎エコー右水腎症
右水腎症
左腎エコー
左腎エコー左水腎症
左水腎症
膀胱エコー
膀胱エコー残尿多量な状態
残尿多量な状態

神経因性膀胱が長期にわたり続いた結果、膀胱尿管逆流症を併発し両側水腎症(腎臓に尿がたまっている状態)を合併しています。この状態が長期間続くと腎機能の増悪に至ります。
写真の症例は、内科で過活動膀胱の薬を処方されている状態でした。
困ったことに、神経因性膀胱の患者さんは、尿意も鈍化しており残尿多量な状態に気づかない患者さんも多いです。

神経因性膀胱の診断方法

泌尿器科では次のような検査を行い、診断します。

  • エコーによる残尿量の測定
  • 尿流量測定(尿の勢いを確認)
  • 尿検査(感染や血尿の有無を確認)
  • 必要に応じてCT・MRIなどで脳や脊椎の異常を確認

主な治療方法

 薬物療法

症状のタイプによって使う薬が異なります。

  • 抗コリン薬・β3受容体作動薬
    膀胱の過剰な収縮を抑える薬。頻尿・尿意切迫感・尿失禁などの「痙性タイプ」の症状に有効です。
  • 膀胱収縮を助ける薬
    尿を出す力が弱い「弛緩性タイプ」の方に用いられます。
 自己導尿(清潔間欠自己導尿)

尿が出にくく残尿が多い場合に効果的なのが、自己導尿です。
カテーテルを使って定期的に尿を出し切る方法で、膀胱や腎臓を守るうえで非常に重要です。

注意点
  • 手洗いをしっかり行う
  • 清潔なカテーテルを使用する
  • 使用後のカテーテルは正しく保管する

これらを徹底することで、感染のリスクを最小限にできます。
当院では、初めての方でも安心して取り組めるよう、医師・看護師が丁寧に指導を行っています。自己導尿を詳しく見る

 外科的治療

重度の場合、膀胱機能を改善する手術を検討することもあります。

当院での取り組み

  • 日本泌尿器科学会認定 泌尿器科専門医による診察と検査
  • 神経因性膀胱のタイプを見極めた上での治療方針提案
  • 自己導尿の導入・指導サポート
  • 再発予防のための生活指導

「尿が出にくい」「残尿感がある」「頻尿や尿もれが気になる」といった症状がある方は、早めの受診をおすすめします。

まとめ

  • 神経因性膀胱は「弛緩性タイプ」と「痙性タイプ」に分けられ、症状も治療法も異なる
  • 放置すると感染や腎機能低下などの重大な合併症につながる
  • 治療は薬物療法・自己導尿・外科的治療があり、当院では自己導尿の指導も行っている
  • 清潔な自己導尿を行うことが、膀胱・腎臓を守り生活の質を高めるポイント

尿が出にくい、残尿感がある、頻尿や尿失禁でお困りの方は、ぜひ当院にご相談ください。

 よくある質問

Q1. 神経因性膀胱はどんな病気ですか?

A. 脳や脊髄、末梢神経の障害により、膀胱の働きをコントロールできなくなる病気です。尿が出にくい・残尿感がある「弛緩性タイプ」と、頻尿・尿もれが起こる「痙性タイプ」があります。

Q2. 神経因性膀胱の症状にはどんなものがありますか?

A. 尿が出にくい、残尿感、頻尿、夜間頻尿、尿失禁、尿閉などがあります。タイプによって症状が異なりますが、放置すると腎機能障害につながることもあります。

Q3. どんな人に神経因性膀胱が多いですか?

A. 脳梗塞や脊髄疾患、多発性硬化症、パーキンソン病などの神経疾患を持つ方、糖尿病で神経障害を合併している方に多く見られます。

Q4. 治療方法には何がありますか?

A. 薬物療法、自己導尿、外科的治療があります。
頻尿や尿失禁には抗コリン薬やβ3受容体作動薬が有効です。
尿が出にくい場合は、膀胱の収縮を助ける薬や自己導尿が行われます。

Q5. 自己導尿は痛くないですか?

A. 最初は不安に感じる方も多いですが、慣れると数分で行えるようになります。カテーテルは柔らかい素材で作られており、安全に使用できます。

Q6. 自己導尿で注意すべきことは?

A. 感染を防ぐために、必ず手洗いを徹底すること、清潔なカテーテルを使用すること、使用後は正しく保管することが大切です。当院では正しい方法を丁寧に指導しています。

Q7. 受診を検討する目安は?

A. 尿が出にくい、残尿感がある、頻尿や尿もれが気になるといった症状が続く場合は、早めの受診をおすすめします。放置すると腎臓に負担がかかることもあるため注意が必要です。